
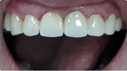
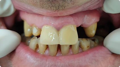
שיקום הפה
מבוצע ע"י רופא שיניים משקם בזכות הטכנולוגיה המתקדמת שלנו ניתן ליצור שיקום מותאם באופן אישי וברמה מדוייקת יותר! כגון: כתרים מחרסינה,כתרים מזירקוניה, תותבות נשלפות,תותבות קבועות ועוד. הטכנולוגיה מאפשרת לצוות המרפאה לתכנן את אופן הטיפול ולייצר אותו בעזרת מערכת CAD\CAM.

כירורגיה- כירורגית פה ולסת
מבוצע ע"י רופא כירורג - עקירות כירורגיות, השתלות עצם, עקירות שיני בינה הוצאת ציסטה והרמות סינוס.

השתלות שיניים
שתלים דנטליים הם פתרון למצב של חוסר שיניים . שתל דנטלי הוא הליך כירורגי אשר מבוצע עי רופא כירורג. מניחים את השתל על עצם הלסת במקום השן החסרה בעזרת חדירה לעצם.שתל דנטלי הוא הבסיס אשר עליו מחובר הכתר שמדמה את השן החסרה

רפואת שיניים דיגיטלית
בעקבות המהפכה הדיגיטלית בעולם הרפואה, מרפאת מלכימוב הציבה סטנדרט חדש גם בעולם רפואת השיניים בעזרת מערכת CAD\CAM .בעזרת מערכת דיגיטלית זו ניתן להגיע לדיוק מירבי,חוזק ומראה טבעי!

יישור שיניים
יישור שיניים מבוצע ע"י רופא אורתודנט מהיום אפשר לחייך מבלי להתבייש! באמצעות הקשתיות השקופות טכניקת היישור המובילה בעולם, ניתן ליישר את השיניים באופן מהיר הרבה יותר מבעבר!

טיפולים משמרים
טיפול משמר מתבצע עקב עששת,עששת עמוקה,זיהומים ועוד.. טיפולים המשמרים המבוצעים לרוב הם: סתימות וטיפולי שורש כאשר עיקר הטיפול הוא לשמור על השן מפני עקירה.














